CenDenver Logo

Send us some photos

 

This page works best on your mobile device. If you are on your computer, open your phone or tablet's camera and scan the below QR code:
Image
From your mobile device, upload a few photos, which Central Park Orthodontics will review. We'll then put together a custom treatment plan explaining all of your options - including pricing and treatment time.

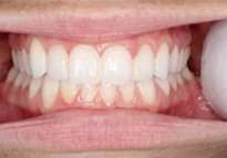
Photo #1 Smile wide! Pull back your cheeks with a finger on each side to snap this shot (you may need a friend to take the picture). And remember to take the picture straight on.
Smile straight on with cheeks pulled back
your image
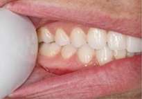
Photo #2 Pull your left cheek so we can see your side teeth. Bite your back teeth tight together for the photo.
left side of smile, cheek pulled back
your image
Photo #3 Pull your right cheek toward your ear so we can see your side teeth. Bite your back teeth tight together for the photo.
Right side of smile, teeth pulled back
your image
Photo #4 Tip head back and open really wide. Use one hand to keep your upper lip out of the way.
upper teeth from below vantage point
your image
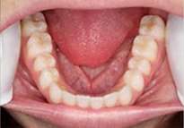
Photo #5 Tip head down and open really wide. Use one hand to keep your lower lip out of the way.
open mouth picture of lower teeth
your image

In order to help us provide you with the most accurate fee for your customized treatment, please snap two quick photos of your insurance card and we will look into your coverage and benefits.    *Not required.

By sharing this data, you authorize its use including an opt-in to receive emails and text messages from Central Park Orthodontics per the Terms of Use. To withdraw or limit consent please contact us.
Powered byPeople + Practice